Skip to Main Content
One Kenwood Place9825 Kenwood Road, Suite 105
Cincinnati,  OH 45242

FAQs: CT

CT - General

What is a CT?

head scans
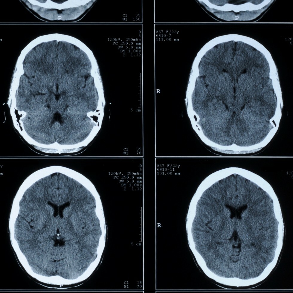
Head CT

A CT scan is a type of scan that uses special X-ray equipment to obtain images from all angles of the body. It then joins the images together to show a cross-section of body tissues and organs. The scan provides detailed information on the scanned part of the body.

What type of equipment is used for a CT?

doctor scanning person

The CT scanner is a specialized machine that looks like a large doughnut. You will lay on a movable table that goes in and out of the center of the machine. Most CT studies use an advanced unit called a spiral CT that records a large number of pictures in a short time.

How does a CT scanner work?

During the scan you will lie on a moving table.  A rotating device spins around your body creating a beam of X-rays. A detector takes snapshots of the beam after it passes through your body and a powerful computer program then processes the images and displays them in different ways for examination. The technician will communicate with you throughout the procedure, but will need to leave the room briefly to run the computer. A radiologist then reviews the images to look at the area in question.

Will I experience pain during a CT?

No, CT scanning is a painless procedure. If contrast material is used, you may feel flushed or get a metallic taste in your mouth, usually lasting no more than a minute or two. In rare cases, you may experience other side effects. Contact the CT technologist or your doctor if these occur or if you have questions about the use of contrast.

How will I get the test results for a CT?

When your CT exam is complete, you may return to work or other normal activity immediately. Our board-certified radiologists will read your exam, and the results will be reported to your referring physician within 24 hours.

CT - Head

What is a CT of the head?

doctor scanning person

A CT scan of the head is a type of scan that uses special X-ray equipment to obtain images from all angles of the head. It then joins the images together to show a cross-section of body tissues and organs. The scan provides detailed information on head injuries, stroke, brain tumors, and other brain diseases.

Why might my doctor recommend a CT of my head?

A CT of the head may be recommended for many different reasons. Your doctor may recommend a CT of the head if you experience severe headaches or if he or she is questioning your risk of stroke, a mass or tumor, or other neurological symptoms. A CT of the head can detect a variety of problems within the brain, including: bleeding, blood clots, brain damage, skull fractures, brain tumors, and diseases or malformations of the skull. The procedure also is used in planning radiation therapy for cancer of the brain or other tissues.

CT - Chest

What is a CT of the chest?

doctor scanning person

A CT scan of the chest is a type of scan that uses special equipment to obtain cross-sectional images of the organs and tissues of the chest. The images produced are far more detailed than those from a traditional chest X-ray. This scan can simultaneously show many different types of tissue including the lungs, heart, bones, soft tissues, muscle, and blood vessels.

Why might my doctor recommend a CT of my chest?

A CT of the chest may be recommended for a variety of reasons. First, it can be used to detect tumors that develop in the lungs or that have spread there from other parts of the body. It also can be used to screen for lung cancer that may not be found on a chest X-ray. Other lung disorders, such as old or new pneumonia, tuberculosis, emphysema, and lung disease can be detected by this scan as well.

How should I prepare for a CT of my chest?

To prepare for a CT scan, we recommend you dress comfortably. Also, avoid any clothing in the chest area that contains metal objects such as snaps or zippers that can affect the CT image. You will not be asked to wear a gown unless the technician feels your clothing could affect the results of the scan.

Depending on your individual scan, you may receive a contrast injection. Contrast material is a dye that makes your organs and blood vessels more visible when you are scanned. If contrast is used, you will be asked not to eat or drink for four hours prior to the procedure. After the scan you should drink plenty of liquids to help flush the contrast out of your system.

What is the chance that an abnormality followed at 6 and 12 months is really a cancer?

This does happen, but it is uncommon. These “probably benign” findings have been well-researched. For example, in a research study involving thousands of women being followed for probably benign masses, only 1.7% were ultimately found to be cancer. These were diagnosed because they grew on the follow-up studies and were eventually biopsied. One-third of these had grown at the six-month study, 1/3 did not show growth until the 12-month study, and 1/3 did not show growth until the 24-month study. Because “benign” appearing cancers are usually the slow-growing variety, these patients still presented with early stage cancers (same prognosis as if biopsied initially).

The six-month follow-up practice is used to prevent many unnecessary biopsies.

Guidelines for Management of Small Pulmonary Nodules

CT: Abdomen/Pelvis

What is a CT scan of the abdomen and pelvis?

Abdomen scans

A CT scan of the abdomen and pelvis is a type of scan that uses special equipment to take pictures from different angles. These pictures are fed into a computer, which combines them to produce a series of cross sections or slices through the part of the pelvis being scanned. This creates a very detailed image of the abdomen and pelvis

Why might my doctor recommend a CT of my abdomen and pelvis?

Your doctor might recommend a CT scan of the abdomen and pelvis to help detect or rule out several conditions, including:

  • Cysts
  • Abscesses
  • Infection
  • Tumors
  • Aneurysms
  • Enlarged lymph nodes
  • Foreign objects
  • Bleeding into the abdominal cavity
  • Diverticulitis
  • Inflammatory bowel disease
  • Appendicitis
  • Cancer in the abdominal organs or lymph nodes.

How should I prepare for my CT abdomen/pelvis?

To prepare for a CT scan we recommend you dress comfortably. Also, avoid any clothing that contains metal objects such as, snaps and zippers that can affect the CT image. You will not be asked to wear a gown unless the technician feels your clothing could affect the results of the scan. Depending on your individual scan, you may be asked to drink contrast before you arrive. Contrast material is a dye that makes your organs and blood vessels more visible when you are scanned. After the scan you should drink plenty of liquids to help flush the contrast out of your system.

CT: Angiography

What is CT Angiography (CTA)?

skull x-ray

CT angiography uses X-rays to view blood flow in blood vessels throughout the body, from arteries serving the brain to those bringing blood to the lungs, kidneys, arms, and legs. Beams of X-rays create cross-sectional images that are assembled by a computer into a three-dimensional picture of the area in question.

How should I prepare for my CT Angiography (CTA)?

To prepare for a CTA, we recommend you dress comfortably. Also avoid any objects that contain metal, such as jewelry, hair clips, and dentures that may interfere with the procedure. You will not be asked to wear a gown unless the technician feels your clothing could affect the results of the scan.

Depending on what part of the body is being examined, you may receive a contrast injection. Contrast material is a dye that makes your organs and blood vessels more visible when you are scanned. If contrast is used, you will be asked not to eat or drink for 4 hours prior to the procedure. After the scan you should drink plenty of liquids to help flush the contrast out of your system.

Why might my doctor recommend CT Angiography (CTA)?

A CTA may be recommended for a variety of reasons. CTA helps visualize blood flow in the arteries that serve your kidneys, in patients with high blood pressure and those who are suspected of having kidney disorders. It also is used to identify life threatening aneurysms in heart and brain. CTA also can help detect narrowing and blockage in the arteries.

CT - Lung Cancer Screening

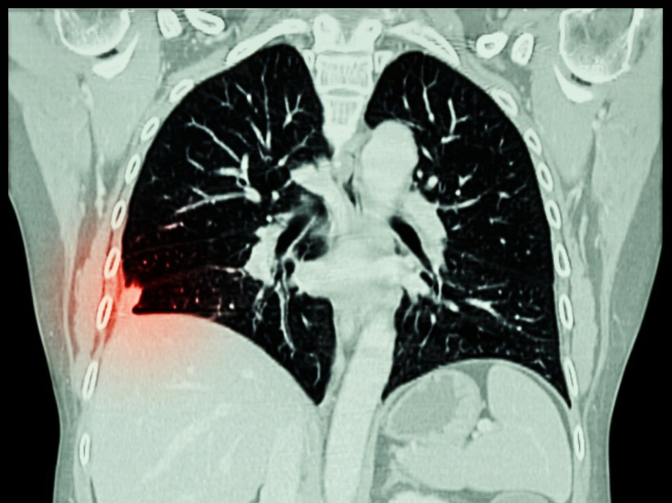
Why is CT scanning used to detect lung cancer?

chest x-ray

A CT of the chest is used to take high-resolution pictures of the lungs, allowing for the detection of abnormal spots called nodules. These nodules usually are too small to be seen on a chest X-ray. Studies show that low-dose CT screening greatly increases the likelihood of detecting lung cancer at an earlier and more curable stage than chest X-rays. According to researchers:

  • Using CT, nodules were detected three times as often as on chest X-rays.
  • Malignant tumors were detected four times as often as on chest X-rays.
  • Stage I (the earliest stage of invasive lung cancer) malignant tumors were detected six times as often as on chest X-rays.
  • Malignant tumors detected using CT were substantially smaller, meaning they were detected earlier, than those detected on chest X-rays.

Who should have a CT screening for lung cancer?

You should talk to you doctor about being screened if you:

  • Smoke cigarettes, cigars or other tobacco products
  • Are exposed to second-hand smoke
  • Have a medical condition of the chest, such as tuberculosis
  • Are exposed to significant amounts of radon, asbestos, coal dust, or air pollution.

How should I prepare for my CT screening?

To prepare for a CT scan, we recommend you dress comfortably. Also, avoid any clothing that contains metal objects such as, snaps and zippers because they can affect the CT image. You will not be asked to wear a gown unless the technician feels your clothing could affect the results of the scan. Depending on your individual scan, you may receive a contrast injection. Contrast material is a dye that makes organs and blood vessels more visible when you are scanned. If contrast is used, you will be asked not to eat or drink for 4 hours prior to the procedure. After the scan you should drink plenty of liquids to help flush the contrast out of your system.

What type of equipment is used for CT screening?

The CT scanner is a specialized machine that looks like a large square doughnut. You will lie on a movable table that goes in and out of the center of the machine. Most computed tomography studies use an advanced unit called a spiral CT that records a large number of pictures in a short time.

How does the CT screening work?

CT scanning requires you to lie flat on your back. A rotating device spins around your body creating a beam of X-rays. A detector takes snapshots of the beam after it passes through your body and a powerful computer program then processes the images and displays them in different ways for examination. During the scan you will be asked to hold your breath for 30-40 seconds. The technician will communicate with you throughout the procedure, but will need to leave the room briefly to run the computer. A radiologist then reviews the images to look at the area in question. The scan will take about 5-10 minutes and the entire experience should last no more than 30 minutes.

CT - Coronary Artery Calcification Score

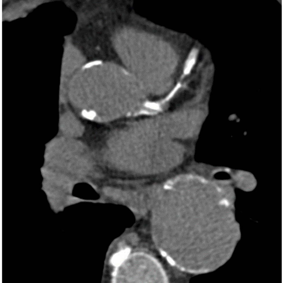
What is coronary calcification?

Coronary calcification image

Coronary calcification occurs when calcium deposits in your blood vessels. Research shows that the amount of calcification is directly related to the amount of plaque in your arteries. This plaque increases your likelihood of developing heart disease.

Why is CT scanning used to detect coronary calcification?

CT scans can detect the amount of calcium build-up in the coronary arteries. The test, otherwise known as a cardiac score, is used to help diagnose heart disease. Because heart disease is a leading cause of death, it is important to undergo screenings. CT scans are one of the most accurate ways to detect calcium build-up in your coronary arteries.

Who should have a cardiac score?

Your doctor may recommend a cardiac score if you:

  • Smoke
  • Have a family history of coronary artery disease
  • Have diabetes
  • Have high blood pressure
  • Have high cholesterol
  • Have coronary artery disease
  • Are overweight
  • Live a sedentary lifestyle
  • Experience a high level of stress
  • Experience atypical chest pain

How should I prepare for my CT scan to detect coronary calcification?

To prepare for a CT scan, we recommend you dress comfortably. Also, avoid any clothing that contains metal objects such as snaps or zippers that can affect the CT image. You will not be asked to wear a gown unless the technician feels your clothing could affect the results of the scan. Depending on your individual scan, you may receive a contrast injection. Contrast material is a dye that makes your organs and blood vessels more visible when you are scanned. If contrast is used, you will be asked not to eat or drink for 4 hours prior to the procedure. After the scan you should drink plenty of liquids to help flush the contrast out of your system.

Copied!
^TOP
close
ModalContent
loading gif